
PAEDIATRIC AND PREVENTIVE DENTISTRY
INTRODUCTION
“Every child has fundamental right to his/her oral health”
Pediatric and Preventive Dentistry is one of the splendid branches of dentistry providing substantial services to all the children at every stage of their lives from infancy, chidren through adolescence including those with special health care needs. Our Department provides comprehensive oral health care while giving utmost importance to preventive procedures like oral hygiene practices, fluoride treatment, and sealant application. The primary vision of the department is to render quality patient services to the needful individuals and to lead the specialty to newer horizons by integrating innovation, communication, and technology (ICT) and community-based services into the pedagogical curriculum.
HISTORY
The Department has been functioning since the inception of this prestigious institution in 1985 under Karnataka University and was recognized by Dental Council of India and Govt. of India in 1989. The postgraduate training program was started in 1992 and recognized in 1994 for 02 Post Graduate Students. From academic year 1996-97 the department started functioning under Rajiv Gandhi University of Health Sciences, Bangalore. From the year 2006 our college acquired deemed status with 2 postgraduates for every academic year. The Department has also started the Ph. D program in the year 2007. One of the Post Graduate Student has installed A Gold medal in the name of her father. Lt. Mr Shashikant Dhariwal Gold medal for the Post Graduate student who secures more than 65% marks in Pediatric and Preventive Dentistry in first attempt.
UNDERGRADUATE PROGRAM
The Dental Graduates should acquire adequate knowledge, necessary skills and attitudes towards Pediatric dental practice involving the prevention, diagnosis and treatment of common diseases of the teeth, mouth and associated tissues. The graduates should also understand the concept of school dental health programmes existing in the country.
POSTGRADUATE PROGRAM
The goal of the postgraduate program is to train students who can practice the specialty of Pediatric and Preventive Dentistry and teach the discipline. The candidates receive extensive clinical and biomedical education together with hands on experience in teaching, learning and research. The curriculum includes preventive, restorative, esthetic, pulp therapy, interception of habits, occlusal guidance, dental trauma, management of child abuse and neglect and children with special health care needs who may require hospital dentistry. The programme also caters to the identification of the behavior and Behavioural problems encountered in children and those with special health care needs.
PhD
The Ph. D programme was started in the year 2007. The department emphasis Ph.D scholars to strengthen department by carrying out research work on the thrust areas of the department which include herbal dentistry, trauma, early childhood caries, child psychology and behavior management. The research scholar are trained in filing patents for their innovative research work and guide them in commercializing their patents.
ALLIED COURSES
The Department provides teaching and learning to the Dental mechanics and hygienist students. The dental mechanic course encompasses various aspects of fabrication of fixed and removable appliances for prevention and interception of various orthodontic problems. The dental hygienist course provides training the students for various oral hygiene procedures.
ENRICHMENT PROGRAMS FOR INTERNS
This department, as a part of enrichment programme, provides value added courses to the interns to acquire knowledge about basic concepts in occlusion and necessary skills towards placement of a Stainless Steel Crown on primary molars.
Our faculties are brilliant teachers and achievers dedicated to our vision and mission. Their zealous nature inspires students and infuses values creating a consistent and healthy learning experience.
![]() DR. CHANDRASHEKHAR M. BADAKAR |
![]() DR. SHIVAYOGI M.HUGAR |
![]() DR. NIRAJ S.GOKHALE |
|---|---|---|
![]() DR. VIDYAVATHI H.PATIL |
![]() DR. SHWETA KAJJARI |
![]() DR. CHAITANYA UPPIN |
![]() Dr. Aruna Prashanth Vishwakarma |
|
|
INFRASTRUCTURE
Simulation Lab
The Simulation lab helps students make a smooth transition from the preclinical to clinical setting.02 simulation units are clustered in modules that accommodate right- and left-handed students. Each operatory has an adjustable mannequin with a realistic mouth. Students work on typhodont jaws using high speed motors with step-by-step instructions and faculty guidance.
Undergraduate Clinic
The undergraduate clinic is spacious and well ventilated to accommodate 20 dental chairs. Clinics provide students with the opportunity to practice dentistry in specific fields of Pediatric and Preventive Dentistry using an array of latest dental materials and equipments.
Postgraduate Clinic
The postgraduate clinic is equipped with 13 latest dental units with motorized suction and magnification tools, digital radiographic technology and materials needed for comprehensive dental care. The postgraduates are trained to improve their skills in treatment planning and patient management.
HIGHLIGHTS
Equipments and Materials
The department is equipped with State of Art equipments and materials that are required to provide the best treatment to the patients. The department has latest equipment like digital radiograph machine that can provide high quality resolution images. The Department has thermoforming machine and Hydro solder machine which are helpful in providing quality appliances like mouth guards, soft splints and space maintainers. The department also has latest endomotors to provide with faster and pain free endodontic procedures. The department also has an array of Bioceramic/Biomimetic materials which are helpful for Apexification, Apexogenesis, Indirect and direct Pulp Capping and Regeneration.
Treatment Rendered
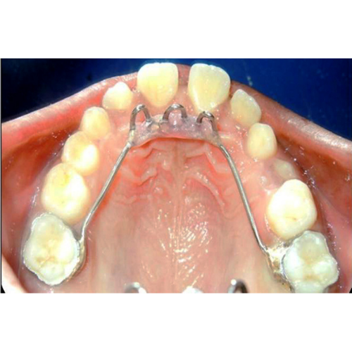
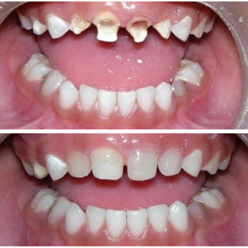
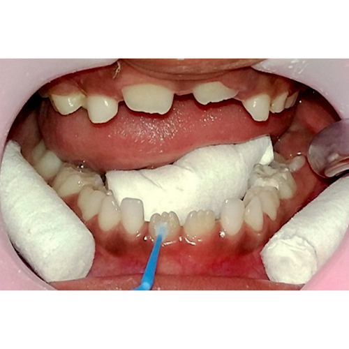
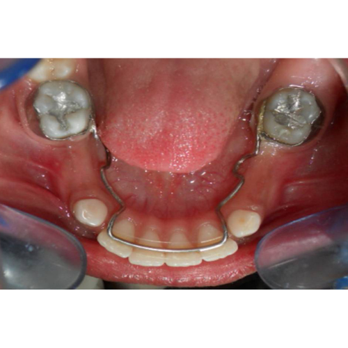
The Department of Pediatric and Preventive Dentistry caters to various treatment needs of children right from birth to adolescence. The department has an array of modern gadgets that help in accurate diagnosis and treatment. The various treatments provided in the department belong to preventive and therapeutic domains. The preventive treatment provided includes topical fluoride application, fluoride varnish application along with the other methods like scaling, teaching of correct way of brushing. The preventive treatment strategies also include providing psychological counselling for the children who engage in various deleterious oral habits and want to quit the habit. The therapeutic treatment ranges from the use of different dental materials to restore a decayed tooth to providing advanced treatment modalities like apexogenesis and pulp revascularization. The department also provides treatments like fragment reattachment, splinting to the traumatized teeth. The department also provides space maintainers for the children whose teeth cannot be saved by endodontic procedures and the emergence of new teeth still has some time. The children who have oral habits are also treated by the use of habit breaking appliances. The children who are specially abled also are treated either at the chair side or in General anaesthesia depending upon the severity of the disease and the oral treatment that is required.
Events organized
24th Scientific Convention
Theme: “Wounded But Not Defeated: Reset The Normal”
February 26 & 27, 2020 |KLE VK Institute of Dental Sciences, Belagavi |Health 24th Scientific convention
KLE Academy of Higher Education and Research KLE VK Institute of Dental Sciences, Belagavi had organized three days XXIV i.e. 24th Scientific Convention on the theme “Wounded but not defeated: Reset the Normal” from 25th – 27th Feb 2021.
On 26th February Dr Shivaprasad S. Goudar, Life member of KLE Society, Professor of Physiology and Director-Research, KLE Academy of Higher Education and Research, was the chief guest for the inaugural function of this Convention and spoke on requirement and importance of carrying out inter-disciplinary research. On 27th February Dr. Prasad Rampure, Principal, KLE College of Engineering, Chikodi, Life member of KLE Society was the Guest Speaker who spoke on Artificial Intelligence in Dentistry: Chances and Challenges.
A total of 250 delegates participated in the convention and 61 scientific presentations were presented in a total of 21 undergraduate presentations on 25th February and 40 post graduate presentations in the category of paper, poster, video and start up & innovation on 26th and 27th February respectively.
Guest Lecture Report By Dr. Shivayogi M. Hugar

Guest Lecture on the topic “Journey of thousand miles begins with happy smiles”-Oral health care in Children
Saturday, April 11, 2021 |39th JNMC scientific society annual meet 2021|Guest Lecture
Dr. Shivayogi M. Hugar, Delivered a guest lecture on oral health care in children titled “Journey of thousand miles begins with happy smiles” at 39th JNMC scientific society annual meet 2021, organised on online platform on 11th April 2021.
Celebration Of Children’s Day by Department of Pediatric and Preventive Dentistry of KLE VK IDS
2018 Childerns Day
2019 Childerns Day
Every year the Department of Pediatric & Preventive Dentistry along with the NSS Unit of KLE VK Institute of Dental Sciences, Belagavi on the eve of “Children’s Day” organizes a variety of programmes where children participate in large numbers and spend their day in fun and frolic. The Department of Pediatric & Preventive Dentistry keeping in view the social obligation towards the society conducts a variety of school dental health programme where in the children are provided with a through oral screening and treatment and also distribution of oral hygiene aids is done at various schools. Various competitions like Essay, Quiz, Musical chair, Best out of Waste, Fancy Dress, and drawing competition are conducted every year to commemorate this day.
WORLD DISABLED DAY
2018 Handicap Day
2019 Handicap Day
This day is celebrated on 3rd December of every year since 1992. The Department of Pediatric and Preventive dentistry observes this day by providing oral health care to the children with special health care needs. The department provides all required oral health care requirements to such children free of cost.
Intellectual Property Rights CDE
Dept of Pedodontics and Preventive dentistry, KLE VK IDS conducted CDE programme on 06/12/2017 on “Patent System in India” The guest speaker of the programme was Dr. Sharana Gouda Assistant Controller of Patents and Designs, The Patent office, Chennai, Government of India Undertaking. 160 Delegates attended the lecture. The speaker stressed about the need of patents and the procedure that needs to be followed during the patenting.
National Symposium
KLE University’s VK INSTITUTE OF DENTAL SCIENCES has organised two days National Symposium on “Minimal Intervention Dentistry and Laser Certification Workshop” on 24th and 25th June 2016 under the aegis of Indian Society of Pedodontics and Preventive Dentistry on the eve of KLE Centenary Celebration.
Dr Shobha D.Deshpande, a very renowned Pediatric Dentist from the Mumbai was the chief guest for the inaugural function of this symposium. She praised KLE Society for its pivotal role in providing such recent treatments to the children.
Dr.Kambalimath H.V, Hon’ble general secretary of ISPPD was the guest of honor.
Dr.V.D.Patil, Registrar, KLE University was also guest of honor, called all pediatric dentist to come forward and create awareness about teething problems in children..
Dr. Narendra Chandranee, President, ISPPD presided over the function. He appreciated KLE Society’s young doctors for coming together to organize such certification workshop which is first of its kind in India.
Dr.Chandrakant K.Kokate Hon.Vice –Chancellor of KLE University graced the occasion.
Dr.Muthu M.S, Dr.Chandrashekar Yavagal ,Dr.Dayanand Shirol were the resource persons for this symposium. A total of more than 185 delegates from all over India participated.
Pediatric rotary endodontics workshop
Continuing Dental Education on “PEDIATRIC ROTARY ENDODONTICS” was held on November 29 2019 in association with the Department of Dental Education VK Institute of dental sciences. Dr. Dhanu G. Rao, President, ISPPD presided over the function. He appreciated staff of department of Pediatric and Preventive Dentistry KAHER’S KLE VKIDS for coming together to organize such workshop. He stressed upon the need of the pediatric dentist’s to upgrade their knowledge with the latest technologies and use it to provide the best possible oral care to the children. A total of 125 participants registered for the CDE. 75 participants registered for Workshop from various dental colleges of Karnataka and Maharashtra. Dr. Dayanand Shirol and Dr Nilesh Rathi renowned pediatric dentist from Pune and Wardha were the resource persons for this CDE & Workshop.
COLLABORATIONS
The Department has Collaboration with PMN Dental College, Bagalkot for student exchange where the students are permitted to attend various courses conducted by the Department of Pediatric and Preventive Dentistry.
ALUMNI
Currently working as Professor Emiritus MGM Dental College, Panvel, Mumbai and Former Head of the Department of pediatric and preventive dentistry, KLE VK Institute of Dental Sciences is a towering personality in field of pediatric and preventive dentistry.
Dr. Anand Shigli: Sir is currently working as Principal D Y Patil Dental School, Lohegaon, Pune. Sir is a proud alumnus of KLE VK Institute of Dental Sciences, Belagavi
Dr. Dayanand Shirol: Sir is currently running his own exclusive Pediatric Dental Practice in Pune. He was former Professor in Rangoonwala Dental college, Pune.
TESTIMONIALS
“The Department of Pediatric and Preventive Dentistry KAHER’S KLE VKIDS always succeeds in taking me down the memory lane. I cannot imagine any other horizontal cherished institution. Very good infrastructure, academic and clinical work. May this institute always flourish.”
“KAHER’s KLE VK IDS is a very good and renowned institute. Department of Pediatric and Preventive Dentistry has always been well organized. Patient care is good. Excellent department well maintained.”
“The department is very well organized and has good achievements. The infrastructure is advanced. Patient flow is good and department is very well maintained.”
“Department of Pediatric and Preventive Dentistry, KLEVK IDS is excelling in every aspect. The department is very well organised. Students are very enthusiastic. Congratulations, and best luck for the future.”
The department of Pedodontics and preventive Dentistry at KLE Vk Institute of Dental sciences is an epitome of Modern progressive pediatric dentistry combined with age old principles and ethics. Not only is the department equipped with the latest equipment, infrastructure and materials, the administration, standard of care and workplace ethics are beyond comparison. ‘Treat everyone equal’, is something I have learned from this department and its dedicated clinical faculty and non clinical staff.
My experience in the department and in the KLE University has been excellent, thanks to the endless efforts the teachers here put in for the betterment of their students. It’s a centre of excellence for clinical skills, academic acumen and of course, life lessons.
Dr Pratibha Kukreja
MDS, Fellow in Pediatric Dentistry (Taiwan)
Pediatric Dentist, Dentistry for Children, teens and Special needs, Pandit Clinic, Pune.
Consultant Pediatric Dentist , KEM Hospital, Pune
Consultant Pediatric Dentist, Kotbagi Hospital, Pune
I am Dr Madhura Mundada (MDS Pediatric Dentist) currently working as a consultant in Pune. I have studied in KLE VK institute of Dental Sciences for 3 years (2016-19) and all these years daily I have learnt something new . KLE Pedo gave us the opportunity to explore and do all types of cases developing a confidence in us because of which we are able to practice hassle free today. Along with clinical knowledge we also got trained to become a good academician having sound knowledge. For all this I am very thankful to our Principal Dr Alka Kale ma’am for providing this platform. Also my Guide, my mentor, HOD Dr Shivayogi M Hugar because of whom I could sail through 3 years smoothly and become a successful doctor. Also I would like to thank Dr Chandrashekhar Badkar, Dr Niraj Gokhale, Dr Vidyavathi Patil, Dr Chaitanya Uppin, Dr Shweta Kajari and Dr Priya Mehrwade for all their support throughout the course.
Along with them I am also thankful to our non teaching staff for their immense help. We have a pride to be called as KLE ALUMINI for making us to excel academically and clinically.
I’m Dr. Shreyas Shah currently working as Consultant Paediatric Dentist in Mumbai. I got my training in Pedodontics & Preventive Dentistry in the year 2016-19. Being a KLE student was one of the most valuable part of my life. Also I feel proud to say that I was a student of the best department in KLEVKIDS. We got a lot of patient exposure and along with that we had the opportunity to handle various special cases. Academically too we were trained very well.I would like to thank our Principal Dr. Alka Kale ma’am for providing this platform. Of course I would like to thank my HOD, Dr. Shivayogi Hugar sir without whom I would not be where I am today. I would like to thank my guide Dr. Chandrashekhar Badakar sir who stood by me throughout my journey. I would also thank Dr. Niraj sir, Dr. Vidyavathi maam, Dr. Chaitanya sir, Dr. Priya maam and Dr. Shweta maam. Last but not the least I would also like to thank our non teaching staff who were there to support us throughout our course. It was an honour to be a student of one of the best institute in India who made us academically sound, clinically strong and help build us a strong personality.
“It is always wonderful to come back to a place which gave you everything. Very supportive staff. Every single time the department offers me new learning and it is a pleasure to be in company of such knowledgeable minds. All the very best for future endeavours.”
















































































